Vollkeramik Metallkeramik Oxidkeramik Implantate

Vollkeramik

Die vollkeramische Technik umfasst die Herstellung von Veneers, Vollkeramik-Kronen, Inlays und Onlays, Teilkronen sowie zahlreichen Hybridkonstruktionen. Die vielfältigen, uns zur Verfügung stehenden Materialien, haben für die entsprechenden Indikationen geeignete Biegefestigkeiten, Farben und Transparenzen. Vollkeramische Restaurationen können gefräst, gepresst oder in der Sintertechnik hergestellt werden. Die Auswahl der verschiedenen Vollkeramiksysteme unterliegt klar festgelegten Indikationen. In Absprache mit dem Patienten und dem behandelnden Zahnarzt empfehlen wir die optimale, ästhetisch-funktionelle vollkeramische Versorgung.

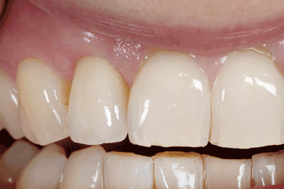
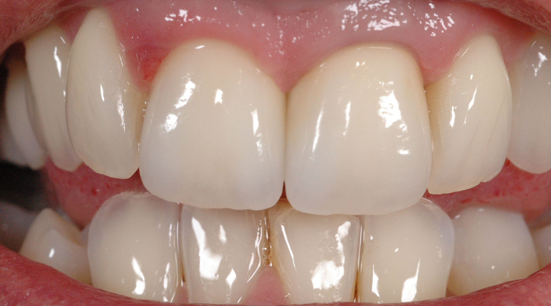
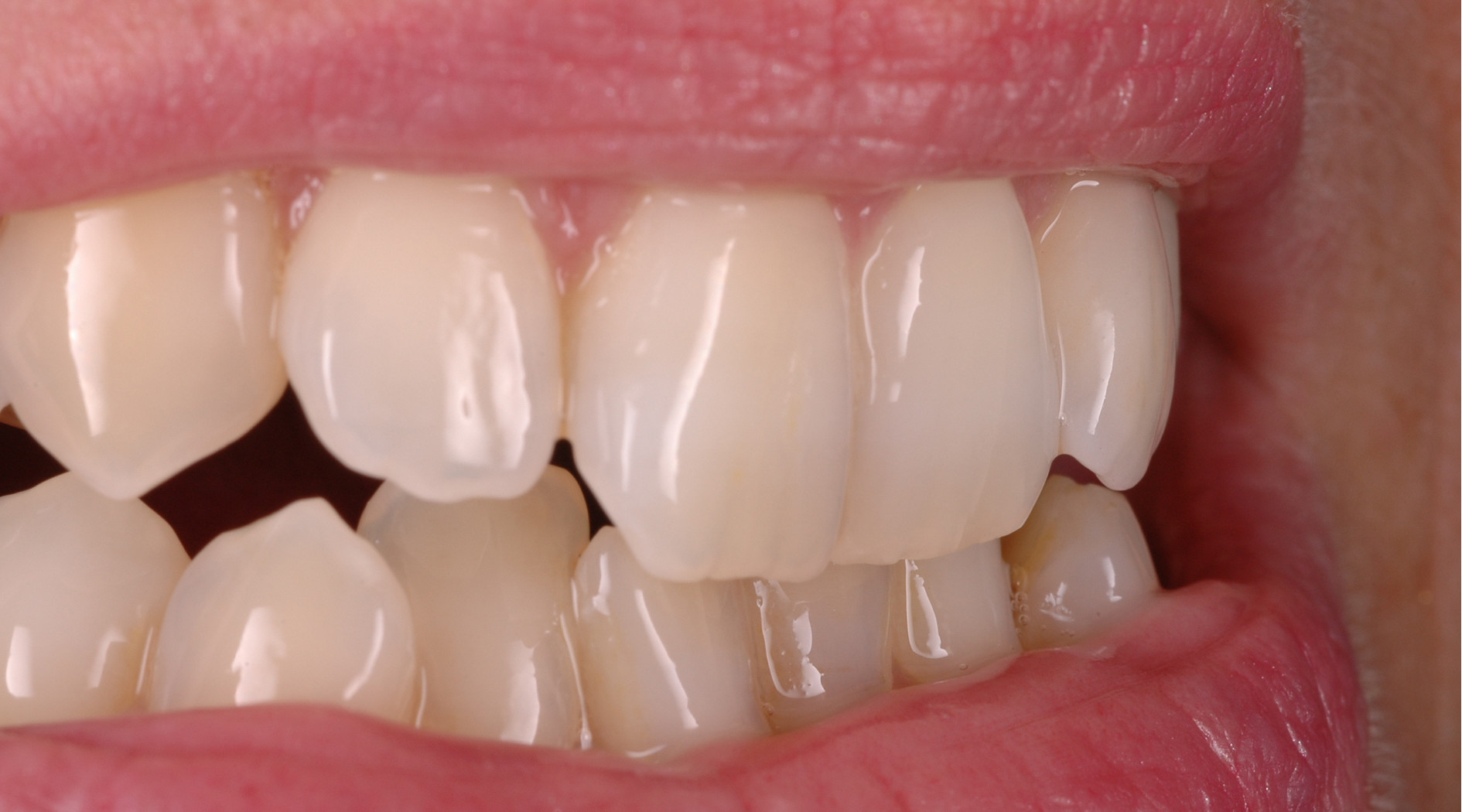
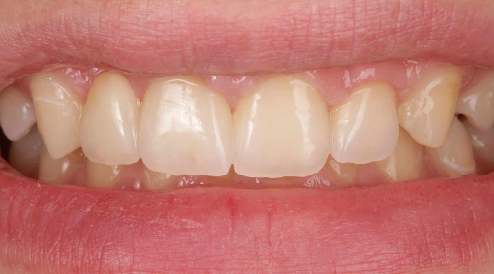
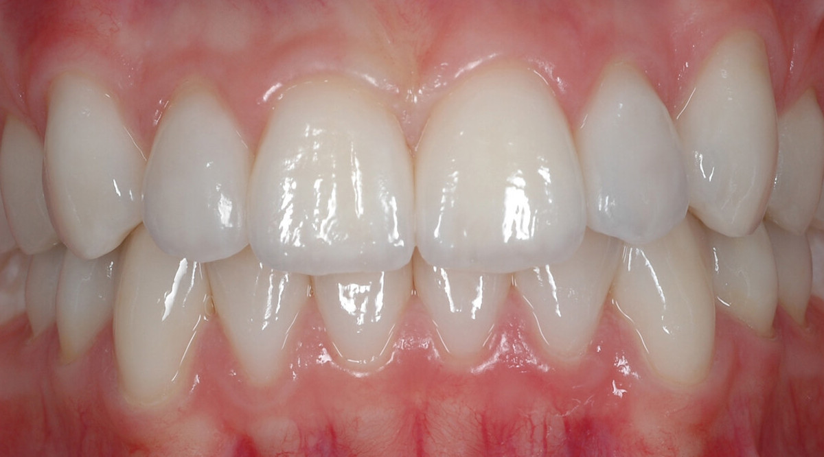
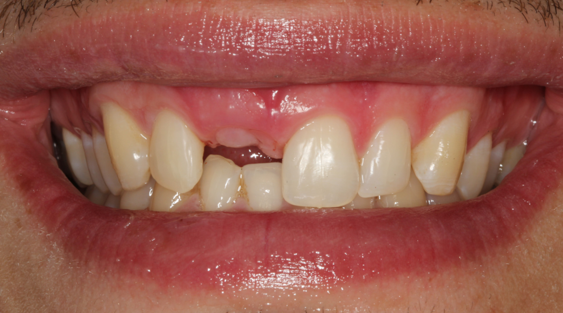
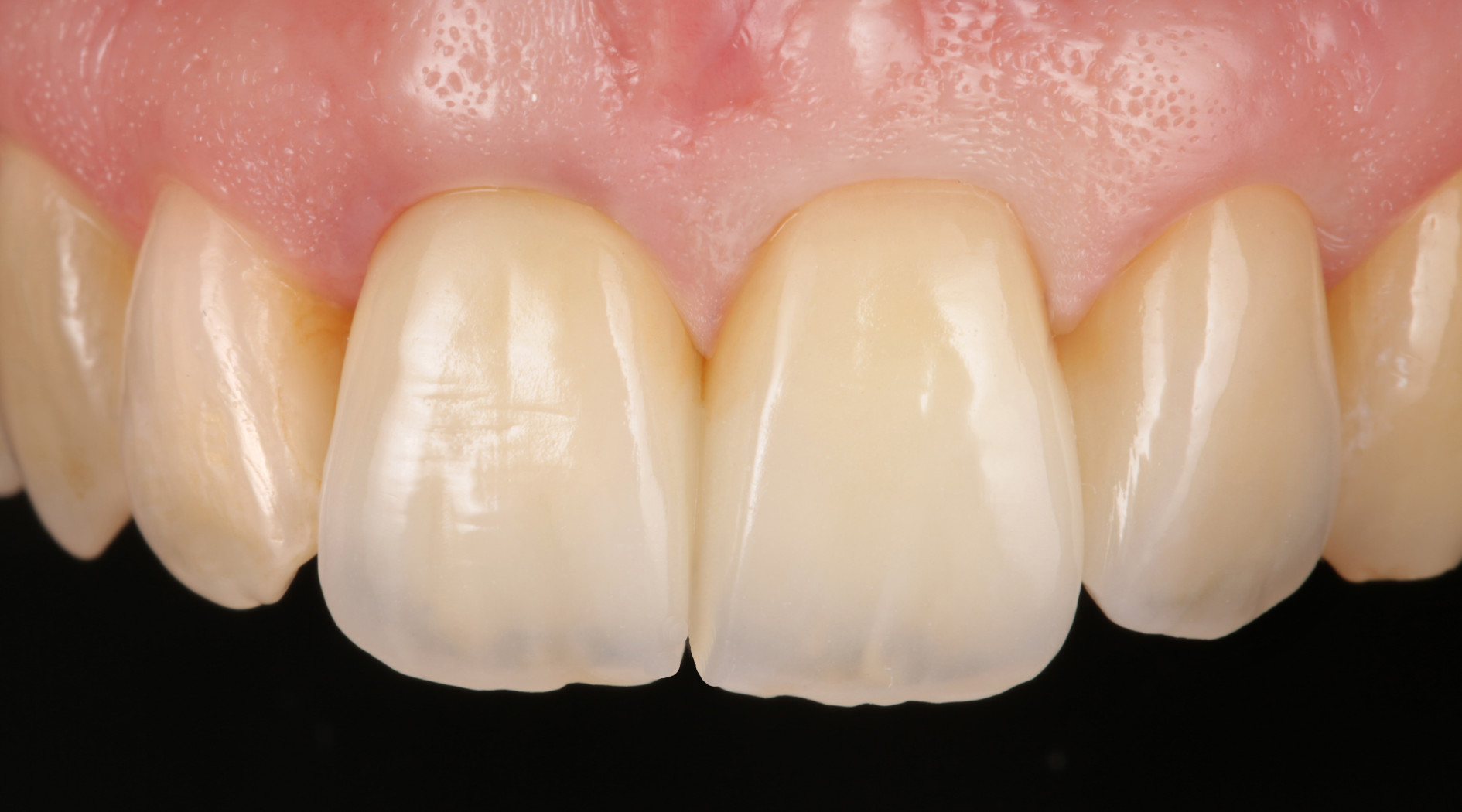
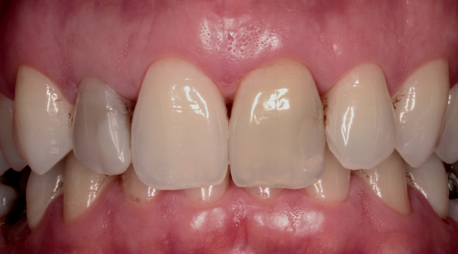
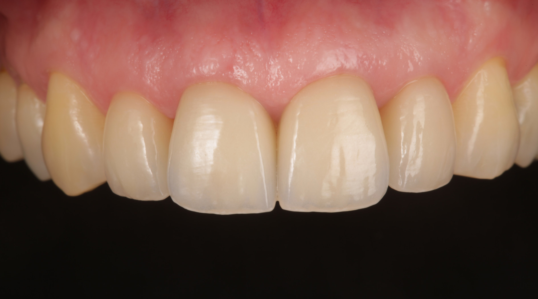
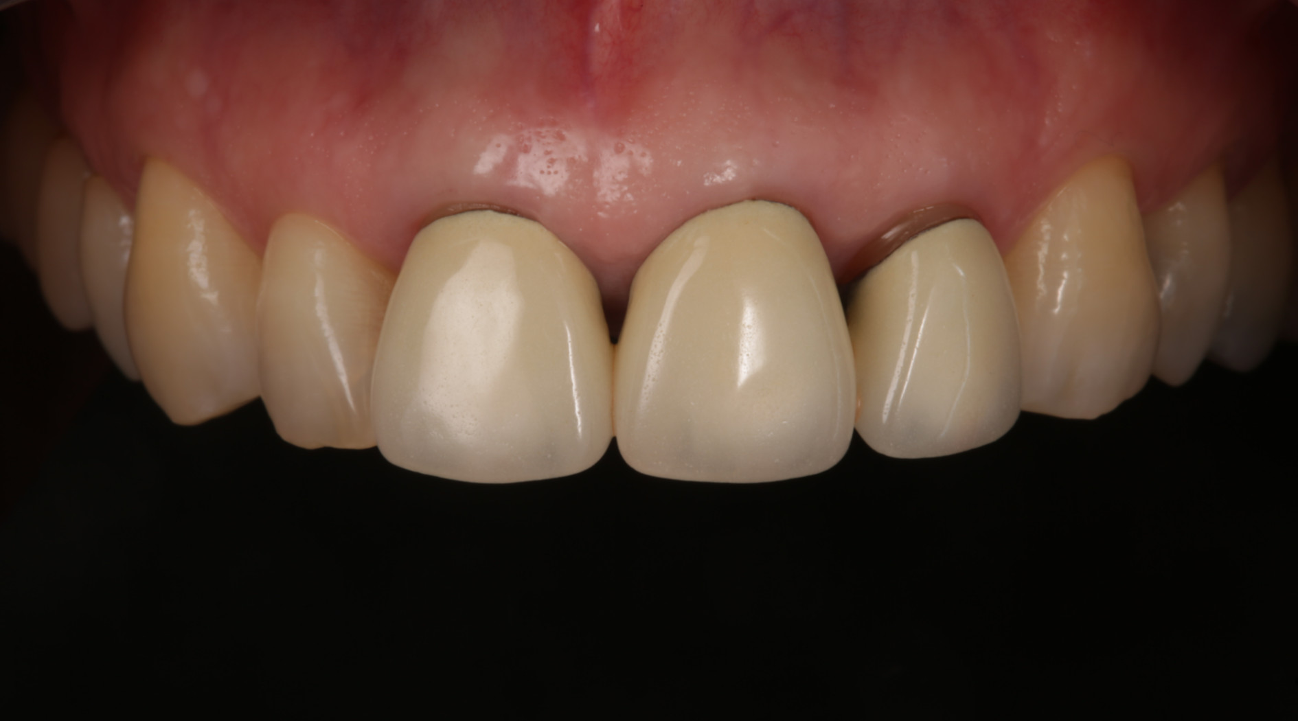
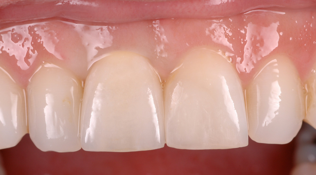
Fall 1: Vollkeramischer mittlerer und seitlicher Schneidezahn

vorher
nachher

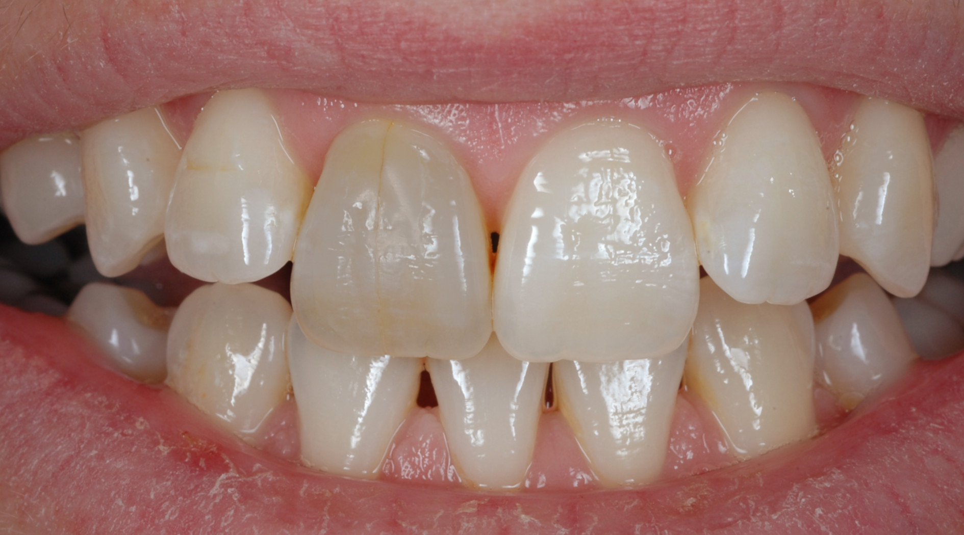
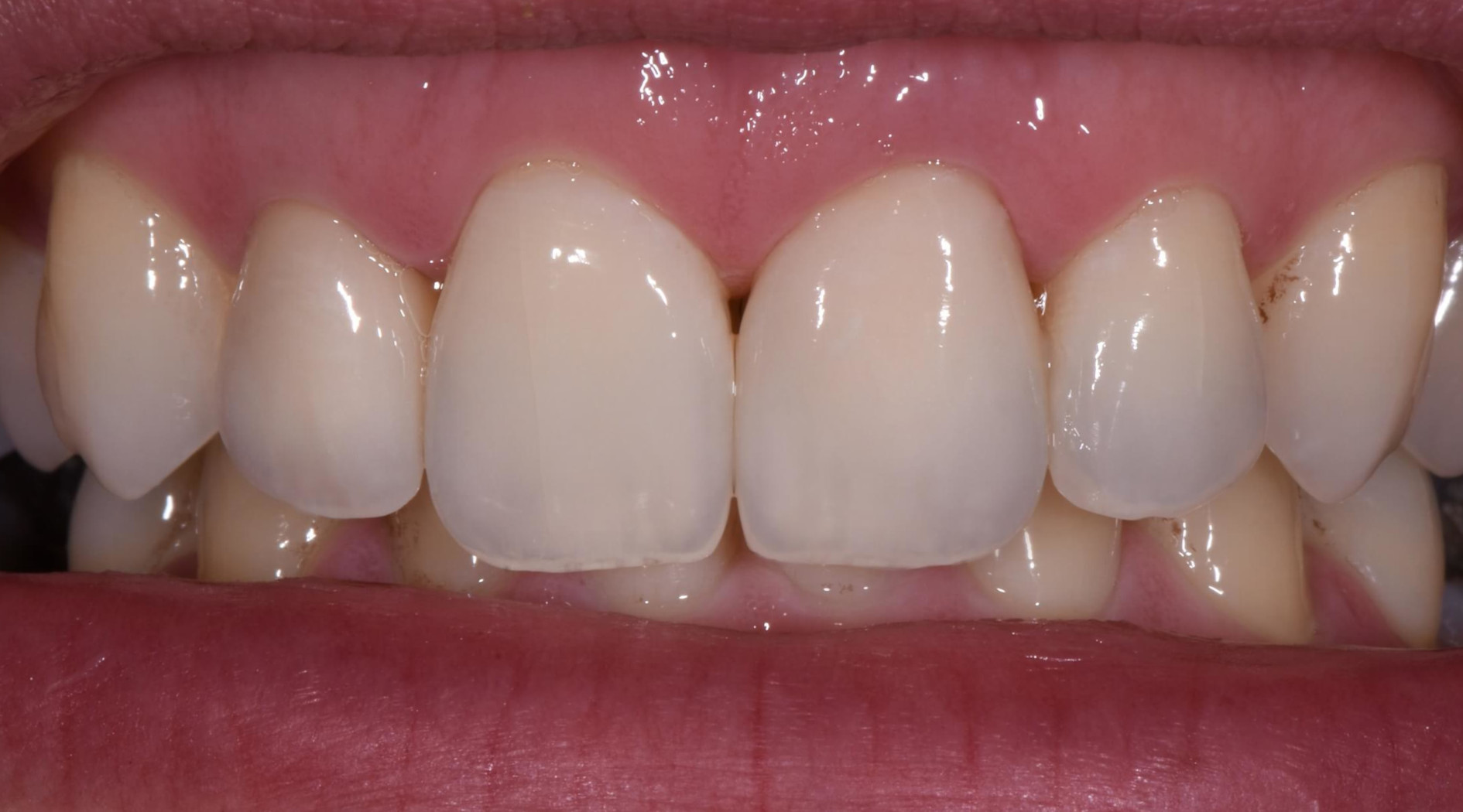
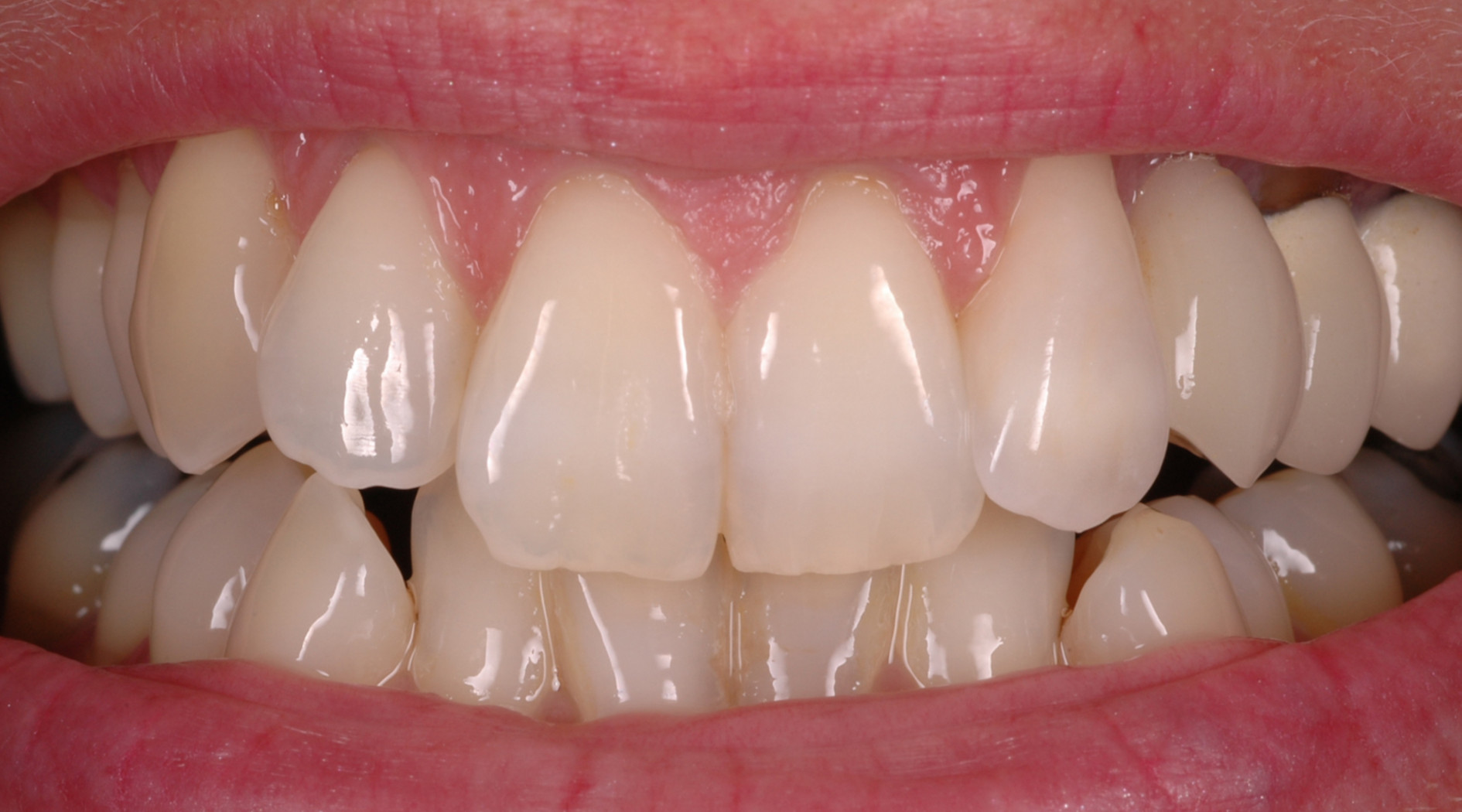
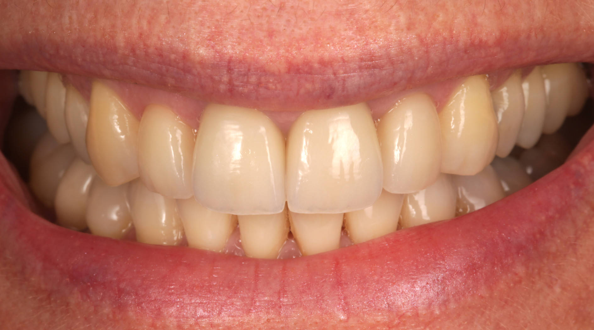
Fall 2

Die 4 oberen Schneidezähne waren von der Farbe, der Proportionen, dem Zahnfleischverlauf sehr disharmonisch. Eine große Herausforderung

vorher
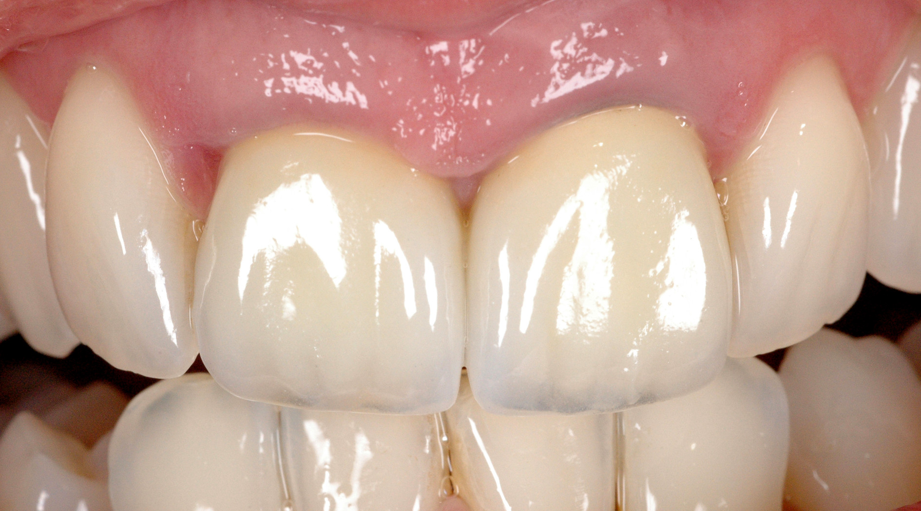
Das Ergebnis:
Ein zufriedenes, glückliches Lächeln

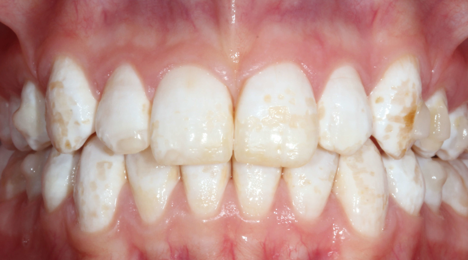
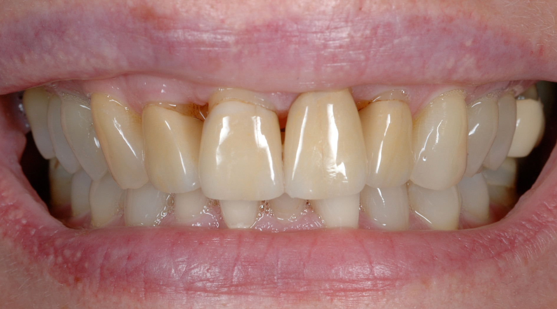
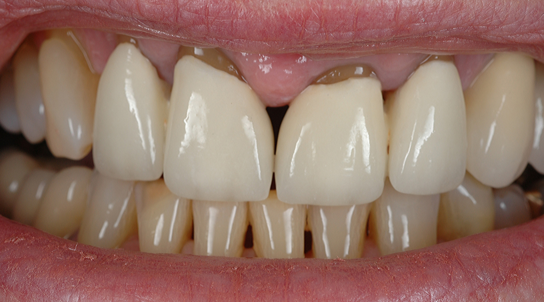
Fall 3: ausführliches Beispiel

Die Patientin hat eine Amelogenesis imperfecta (Störung der Schmelzbildung).

vorher
nachher
vorher
vorher
vorher
nachher
nachher
nachher
nachher

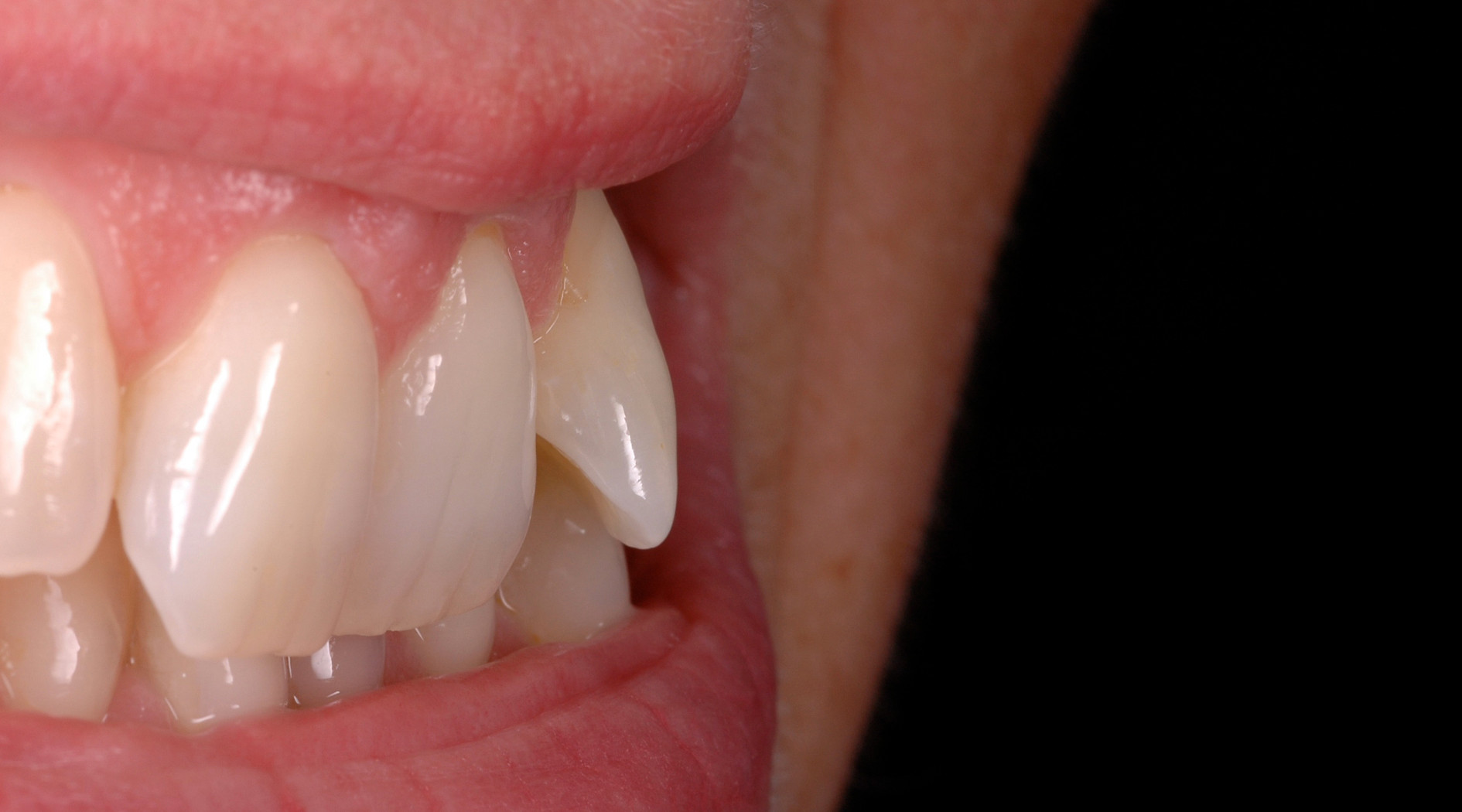
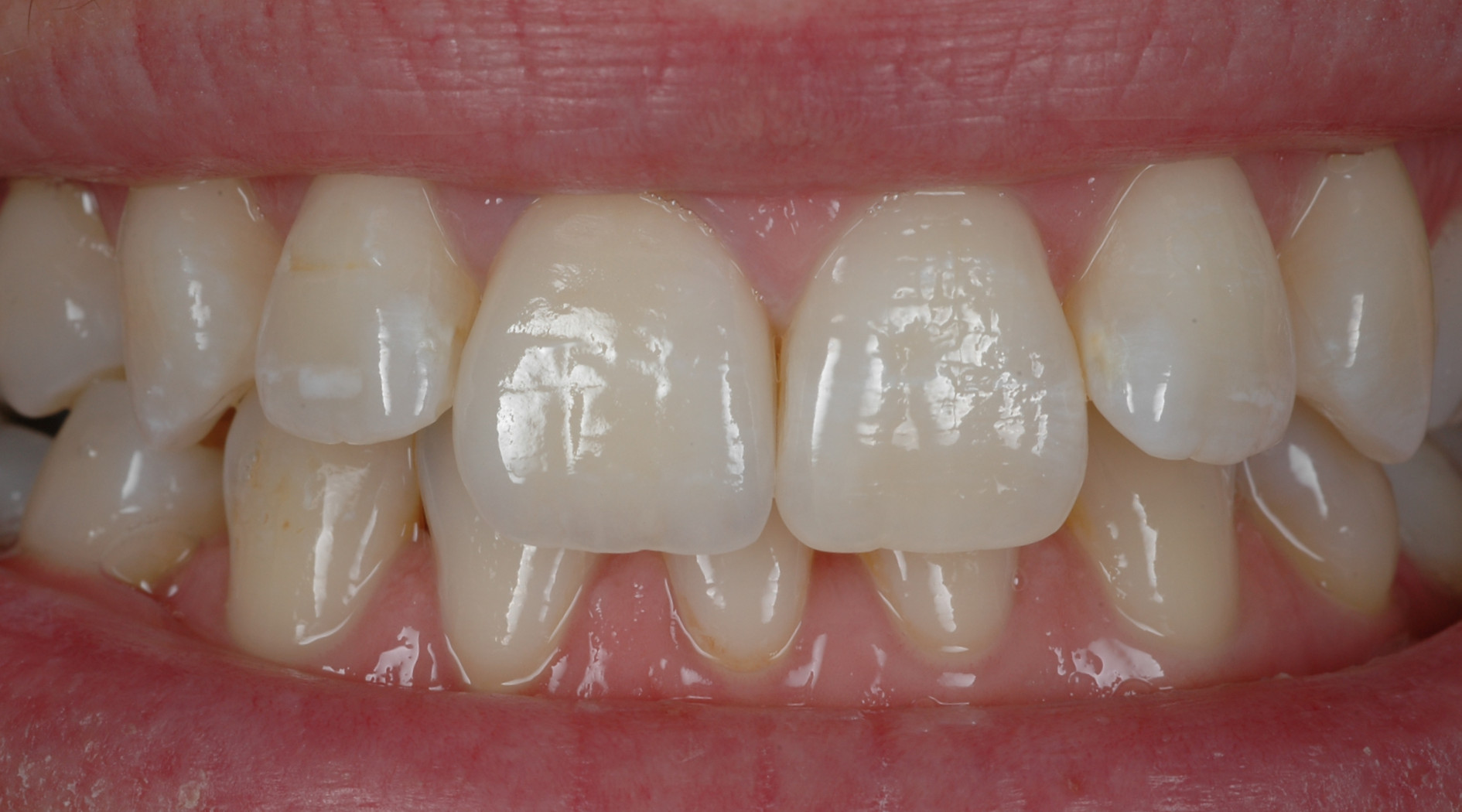
Fall 4

Der seitliche Schneidezahn musste entfernt werden und wurde durch eine Flügelbrücke ersetzt.

vorher
nachher

Fall 5: Amelogenis Imperfecta

Die gleiche Diagnose-ein anderer Fall.

vorher
nachher

Fall 6

Der Zahnfleischverlauf wurde korrigiert , die Proportionen und die Gesamt Ästhetik wurden verbessert.


vorher

nachher

Veneers

Die Veneer-Technik ermöglicht es, Lücken zu schließen, Funktionen wiederherzustellen sowie Farben und Fehlstellungen zu korrigieren. Die Wiederherstellung eines Zahns durch vollkeramische Versorgung erfolgt in vielen kleinen Arbeitsschritten. Durch die Reproduktion der Morphologie (Form) und der vielfältiger Farbstrukturen. Die Herstellung solcher Versorgungen kann minimal invasiv oder auch non invasiv erfolgen.

Arbeitsablauf

Die nachfolgenden Bilder zeigen einige Arbeitsschritte, die den individuellen Aufbau einer keramisch zu verblendendenden Krone verdeutlichen.

1: Das individualisierte Kronengerüst aus Vollkeramik
2: Der erste farbrelevante Auftrag von hochchromatischen Massen.
3: Komplettieren mit sogenannten Inside Massen
4: Interne Farbstrukturen werden auf das Dentin, im Schneidebereich eingelegt
5: Unterschiedliche Schneidemassen werden aufgelegt
6: Die finale Abdeckung mit speziellen transparenten Massen zur Verstärkung der Tiefenwirkung und zur Gestaltung der Zahnform
7: Das fertige Ergebnis nach dem Ausarbeiten und dem Finish
8: Die Frontzähne aus verschiedenen Perspektiven

Fall 7: Veneers zur Korrektur der Form und Farbe

vorher
nachher

Fall 8: Veneers zur Korrektur der Form und Farbe


vorher

vorher

nachher

nachher

Inlay/Teilkrone

Inlays und Teilkronen gleichen kleinere Defekte und Stellungsanomalien im Front und Seitenzahnbereich aus. Unterschiedliche Techniken, Press- und Sintertechnik ermöglichen indikationsabhängige und zielgerichtete Lösungen. Diese integrieren sich sowohl funktionell, als auch morphologisch und ästhetisch in die natürliche Zahnreihe.

Fall 9: Inlay

vorher
nachher

Metallkeramik

Eines der ältesten Verfahren, Zahnersatz herzustellen, ist die Metallkeramik. Auf biokompatiblen, hochgoldhaltigen Legierungen werden moderne und zuverlässige Verblendkeramiken aufgetragen und gebrannt. Die physikalischen und auch ästhetischen Eigenschaften dieser “Porzellan”-Keramiken sind im Verlauf ihrer Entwicklung optimal verbessert worden. Im Bestreben, den natürlichen Zahn nachzubilden, erzielt die Metallkeramik-Technik vergleichbare Härte und ein identisches Abrasionsverhalten zum Antagonisten (Gegenzahn). Metallkeramisch perfekt gearbeitete Kronen und Brücken sind in ihrem ästhetischen Erscheinungsbild nicht von einer Vollkeramik-Versorgung zu unterscheiden.

Fall 10: Ersatz der mittleren Schneidezähne

vorher
nachher

Fall 11: 4 Frontzahn Einzelkronen

vorher
nachher

Fall 12

dreigliedrige Brücke zum Ersatz des mittleren linken Schneidezahnens

vorher
Präparation
nachher

Oxidkeramik

Hochleistungskeramiken können, wenn die Indikation gegeben ist, das Metallgerüst herkömmlicher Kronen und Brücken ersetzen. Diese Materialien werden seit Jahren erfolgreich in der Industrie und in der Medizin eingesetzt. Um den langfristigen Erfolg einer solchen Restauration zu gewährleisten, ist die genaue Kenntnis der physikalischen Eigenschaften des Materials erforderlich. Dabei sollten die Grenzen einer solchen Hochleistungskeramik nicht überschritten werden.

Fall 13: Ein Veneer und 3 Vollkeramikkronen in der Front

vorher
vorher
nachher
nachher

Fall 14: Eine komplette vollkeramische Versorgung im Oberkiefer.

schwierige parodontale Ausgangssituation

Perfekte Harmonie und sehr schöne Übergänge zum Zahnfleisch (rote Ästhetik)

Fall 15

Der Einsatz unterschiedlicher, vollkeramischer, zahntechnischer Werkstoffe u.a Zirkonoxid. Eine Maryland Brücke (Flügelbrücke) rechts und Vollkeramische Teilkronen links.

vorher
Präparation
nachher

Implantate

Sofern die prothetischen Voraussetzungen gegeben sind, können fehlende Zähne durch Einzelimplantate ersetzt werden. Mehrere Einzelimplantate werden dabei zur Aufnahme einer fest zementierten Brücke oder zur Verankerung von herausnehmbarem Zahnersatz genutzt. Wir garantieren ein ästhetisches und funktionell optimales Behandlungsergebnis. Sie können bei uns die Implantatsversorgungen der renommiertesten und erfahrensten Anbieter auf dem Dentalmarkt erwarten: Nobel Biocare Branemark Replace Select, Friadent, Straumann.
Implantate können aus einer gegossenen Edelmetalllegierung, aus Titan oder Vollkeramik hergestellt werden. Bei der Herstellung einer vollkeramischen Implantatstruktur stellen wir individuelle, funktionsorientierte Pfeilerkonstruktionen her. Diese werden in moderner CAD/CAM-Technologie gefertigt. Auf vollkeramischen Implantatpfosten mit hervorragenden physikalischen Festigkeiten werden naturanaloge Vollkeramik-Restaurationen befestigt. Auch bei völliger Zahnlosigkeit ist eine Versorgung mit Implantaten möglich, wenn die chirurgischen Voraussetzungen gegeben sind.

Implantate

Ein perfektes ästhetisches Ergebnis kann erreicht werden, wenn u. a.

  • die Voraussetzung für ein Implantat gegeben ist - z. B. ausreichende Knochensubstanz
  • ein durch den Chirurgen eventuell nötiger Knochenaufbau (Augmentation) durchgeführt wird
  • das Gewebe (die “rote Ästhetik”) im Umfeld der Implantate optimal vorbereitet wird; beispielsweise durch ein Gewebe-Transplantat oder durch perfektes Modellieren des Zahnfleischs, u. a. auch mittels therapeutischer Versorgung (Langzeitprovisorium).

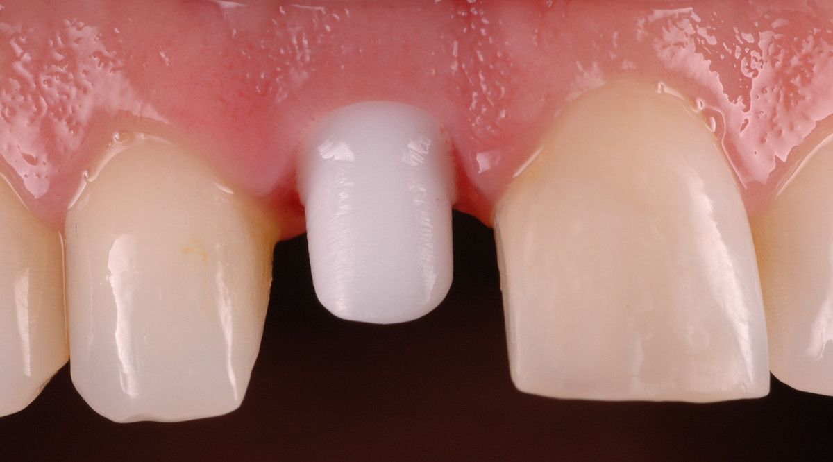
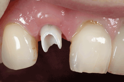
Das individuelle Implantat in Situ ...
... die darauf eingegliederte Krone

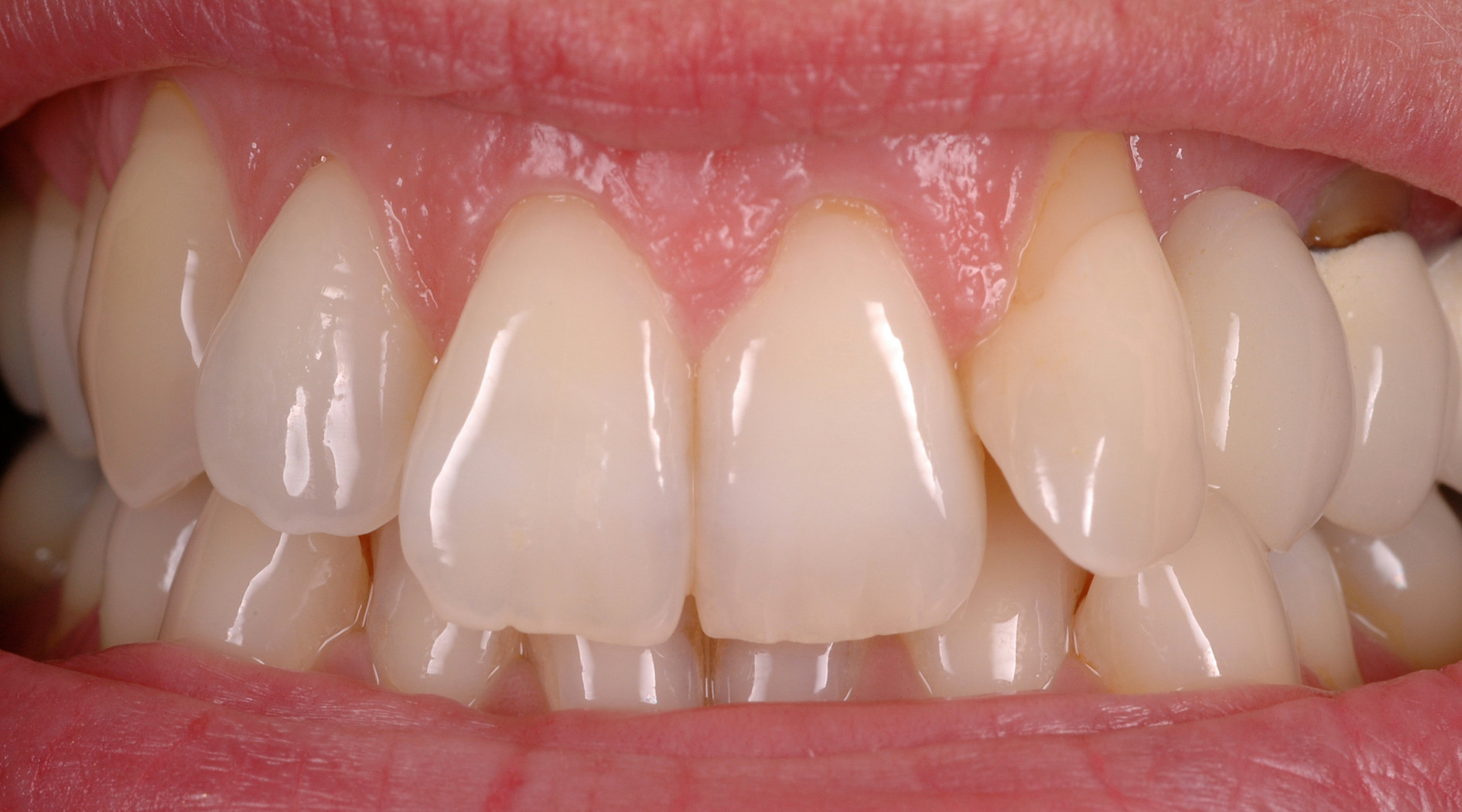
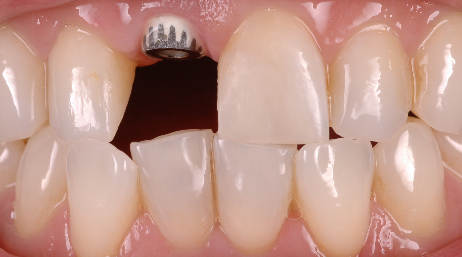
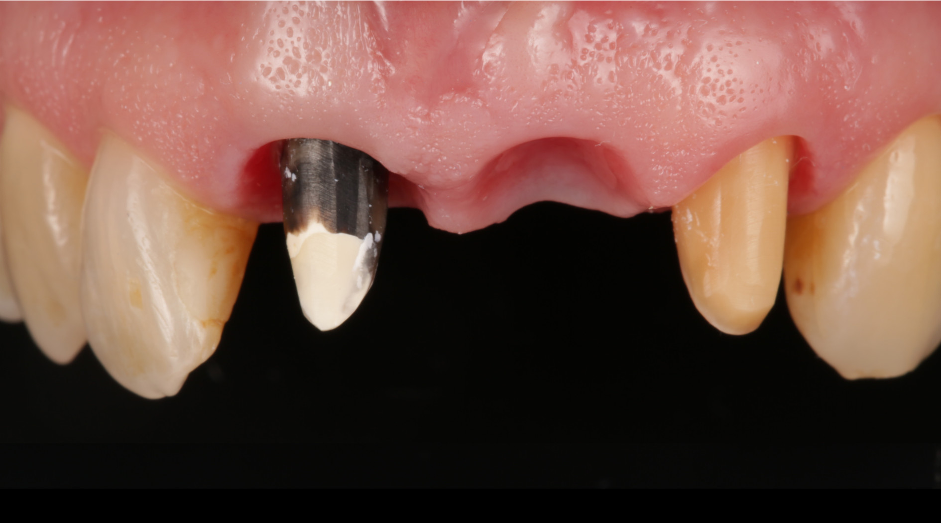
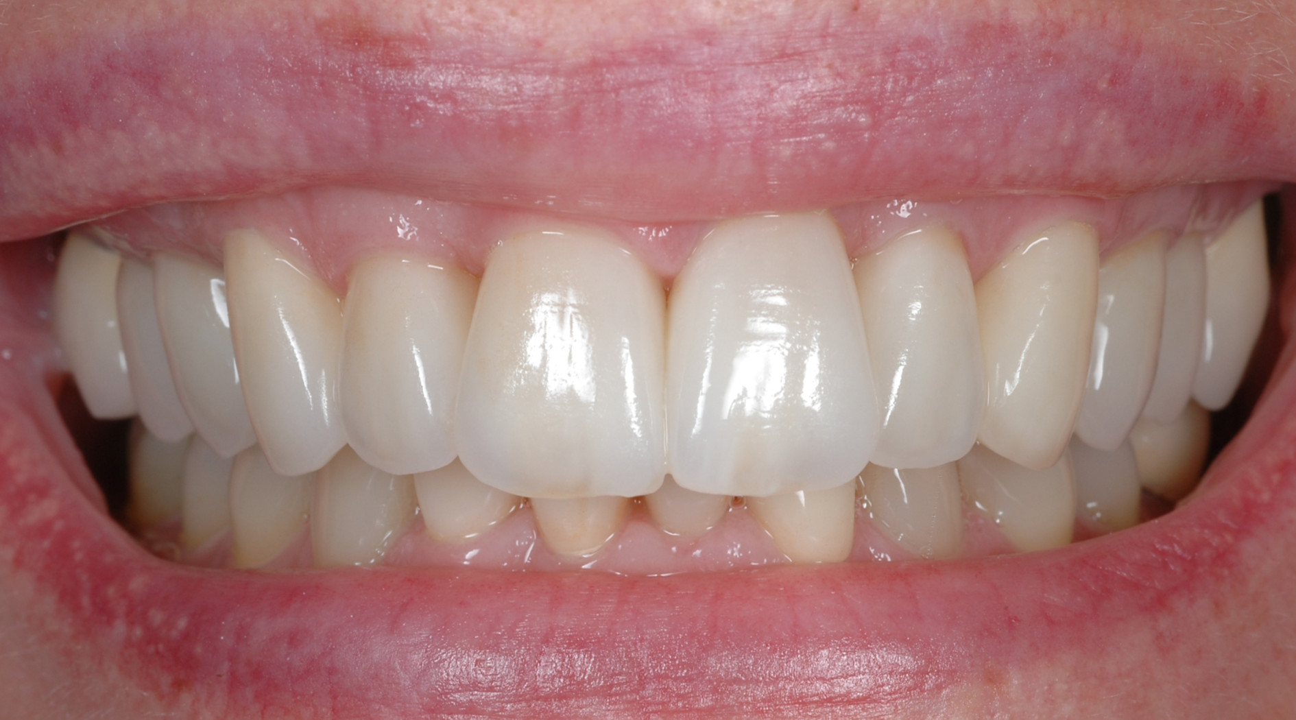
Fall 16: Die beiden mittleren Frontzähne: rechts ein Implantat links eine Vollkeramik Krone.

vorher
Präperation
nachher

Fall 17: Implantat und Krone nebeneinander

vorher
nachher

Fall 18: Ein Implantat rechts

vorher
das Implantat Gerüst
nachher

Fall 19: Ein Einzelzahnimplantat

vorher
nachher